Implanty zębów to nowoczesne rozwiązanie, które pozwala na odbudowę brakujących zębów w sposób trwały i estetyczny. Wiele osób zastanawia się, co ile wymienia się implanty zębów oraz jakie objawy mogą wskazywać na potrzebę ich wymiany. Warto zaznaczyć, że implanty zębów są projektowane tak, aby były trwałe i mogły służyć przez wiele lat, a ich żywotność zależy od wielu czynników. Przede wszystkim kluczowe jest przestrzeganie zasad higieny jamy ustnej oraz regularne wizyty u dentysty. W przypadku wystąpienia problemów takich jak ból, obrzęk czy ruchomość implantu, należy niezwłocznie skonsultować się ze specjalistą. Często objawy te mogą świadczyć o infekcji lub niewłaściwym osadzeniu implantu. W takich sytuacjach konieczna może być interwencja chirurgiczna lub wymiana implantu.
Jak długo można nosić implanty zębów bez wymiany?

Czas noszenia implantów zębów bez konieczności ich wymiany jest kwestią indywidualną i zależy od wielu czynników. Zazwyczaj implanty wykonane z tytanu mogą służyć pacjentom przez 10 do 15 lat, a w niektórych przypadkach nawet dłużej. Kluczowe znaczenie ma jakość materiału, technika wszczepienia oraz ogólny stan zdrowia pacjenta. Osoby cierpiące na choroby przyzębia czy cukrzycę mogą być bardziej narażone na problemy związane z implantami. Ponadto styl życia, dieta oraz nawyki higieniczne również wpływają na trwałość implantów. Regularne kontrole u stomatologa pozwalają na wczesne wykrycie ewentualnych problemów i podjęcie odpowiednich działań. Ważne jest również unikanie używek takich jak papierosy, które mogą negatywnie wpływać na proces gojenia i stabilność implantu.
Jakie czynniki wpływają na wymianę implantów zębów?
Wymiana implantów zębów może być konieczna w wyniku różnych czynników, które wpływają na ich funkcjonowanie i trwałość. Jednym z najważniejszych aspektów jest jakość kości, w której implant został osadzony. Jeśli kość nie jest wystarczająco mocna lub doszło do jej zaniku, może to prowadzić do problemów z stabilnością implantu. Kolejnym czynnikiem jest stan zdrowia pacjenta; choroby przewlekłe, takie jak cukrzyca czy choroby autoimmunologiczne, mogą wpływać na proces gojenia i zwiększać ryzyko infekcji. Również niewłaściwa higiena jamy ustnej może prowadzić do zapalenia dziąseł wokół implantu, co w konsekwencji może skutkować jego utratą. Dodatkowo, niektóre leki mogą wpływać na proces gojenia i stabilność implantu.
Jakie są koszty związane z wymianą implantów zębów?
Koszty związane z wymianą implantów zębów mogą się znacznie różnić w zależności od wielu czynników, takich jak lokalizacja gabinetu stomatologicznego, doświadczenie lekarza oraz rodzaj zastosowanego materiału. W Polsce ceny za wszczepienie jednego implantu wahają się od kilku do kilkunastu tysięcy złotych, a dodatkowe koszty mogą obejmować badania diagnostyczne, leczenie ewentualnych infekcji czy zabiegi przygotowawcze, takie jak przeszczepy kości. Warto również uwzględnić wydatki związane z protetyką, czyli wykonaniem korony lub mostu na implancie. Niektóre kliniki oferują pakiety usług, które mogą być korzystniejsze cenowo dla pacjentów planujących kompleksowe leczenie. Dobrze jest również sprawdzić możliwość rozłożenia płatności na raty lub skorzystania z ubezpieczenia zdrowotnego, które może pokryć część kosztów związanych z zabiegami stomatologicznymi.
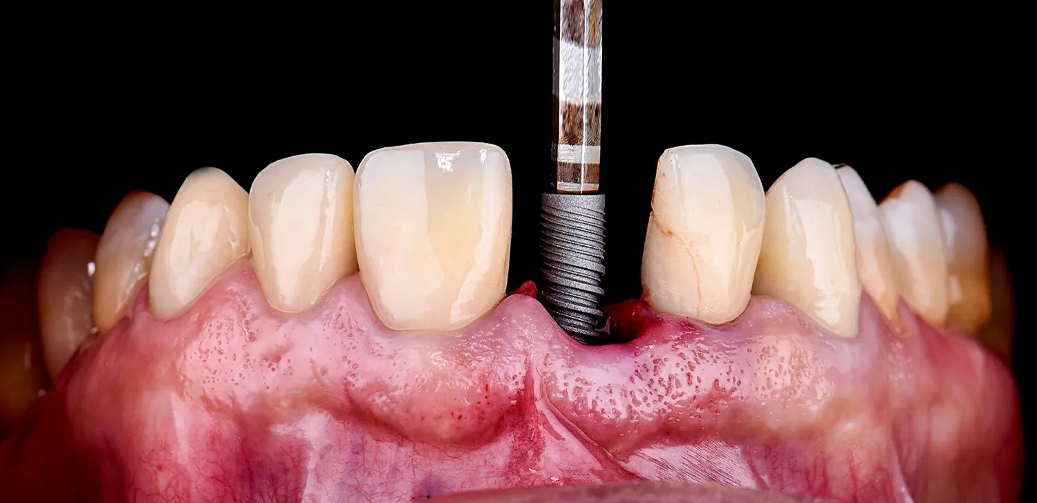
Jakie są najczęstsze powody wymiany implantów zębów?
Wymiana implantów zębów może być konieczna z różnych powodów, które warto dokładnie poznać, aby móc odpowiednio zadbać o zdrowie jamy ustnej. Jednym z najczęstszych powodów jest niewłaściwe osadzenie implantu, co może prowadzić do jego ruchomości i dyskomfortu. W przypadku, gdy implant nie został prawidłowo umiejscowiony w kości, może to skutkować brakiem stabilności oraz problemami z żuciem. Kolejnym powodem jest infekcja, która może wystąpić w okolicy implantu. Zapalenie tkanek wokół implantu, znane jako periimplantitis, jest poważnym stanem, który wymaga interwencji i często prowadzi do konieczności usunięcia implantu. Dodatkowo, zmiany w stanie zdrowia pacjenta, takie jak wystąpienie chorób ogólnoustrojowych czy przyjmowanie leków wpływających na gojenie, mogą również przyczynić się do potrzeby wymiany implantu.
Jakie są zalety i wady wymiany implantów zębów?
Decyzja o wymianie implantów zębów wiąże się zarówno z zaletami, jak i wadami, które warto rozważyć przed podjęciem ostatecznej decyzji. Do głównych zalet należy możliwość przywrócenia pełnej funkcjonalności jamy ustnej oraz poprawa estetyki uśmiechu. Nowe implanty mogą być lepiej dopasowane do indywidualnych potrzeb pacjenta oraz dostosowane do zmieniających się warunków w jamie ustnej. Ponadto nowoczesne technologie oraz materiały stosowane w stomatologii pozwalają na uzyskanie jeszcze lepszych efektów estetycznych i funkcjonalnych. Z drugiej strony wymiana implantów wiąże się z pewnymi wadami; przede wszystkim jest to procedura chirurgiczna, która niesie ze sobą ryzyko powikłań oraz ból pooperacyjny. Dodatkowo koszty związane z wymianą mogą być znaczące i nie zawsze są pokrywane przez ubezpieczenie zdrowotne. Pacjenci muszą także liczyć się z czasem rekonwalescencji oraz koniecznością przestrzegania zaleceń lekarza po zabiegu.
Jak przygotować się do wymiany implantów zębów?
Przygotowanie się do wymiany implantów zębów jest kluczowe dla zapewnienia sukcesu całego zabiegu oraz minimalizacji ryzyka powikłań. Przede wszystkim pacjent powinien odbyć konsultację ze stomatologiem, który oceni stan zdrowia jamy ustnej oraz zdecyduje o najlepszym planie leczenia. Warto również przeprowadzić niezbędne badania diagnostyczne, takie jak zdjęcia rentgenowskie czy tomografia komputerowa, które pomogą lekarzowi ocenić stan kości oraz zaplanować zabieg. Przed samym zabiegiem pacjent powinien również zadbać o odpowiednią higienę jamy ustnej, aby zminimalizować ryzyko infekcji. Ważne jest także omówienie z lekarzem wszelkich przyjmowanych leków oraz schorzeń przewlekłych, które mogą wpłynąć na proces gojenia. W dniu zabiegu pacjent powinien przybyć na umówioną wizytę w dobrym stanie zdrowia i najlepiej bez objawów przeziębienia czy infekcji.
Jak długo trwa proces gojenia po wymianie implantów zębów?
Proces gojenia po wymianie implantów zębów jest kwestią indywidualną i może trwać od kilku tygodni do kilku miesięcy, w zależności od wielu czynników. Po wszczepieniu nowego implantu organizm potrzebuje czasu na integrację implantu z kością, co jest kluczowe dla jego stabilności i funkcjonalności. Zazwyczaj proces ten trwa od 3 do 6 miesięcy; jednak u niektórych pacjentów może być krótszy lub dłuższy w zależności od stanu zdrowia oraz jakości kości. W trakcie tego okresu ważne jest regularne monitorowanie stanu zdrowia jamy ustnej oraz przestrzeganie zaleceń lekarza dotyczących diety i higieny. Pacjenci mogą doświadczać pewnego dyskomfortu lub bólu po zabiegu, dlatego lekarz zazwyczaj przepisuje leki przeciwbólowe oraz antybiotyki w celu zapobiegania infekcjom.
Jak dbać o nowe implanty zębów po ich wszczepieniu?
Dbanie o nowe implanty zębów po ich wszczepieniu jest kluczowe dla zapewnienia ich długowieczności oraz uniknięcia ewentualnych komplikacji. Po pierwsze, niezwykle istotne jest przestrzeganie zasad higieny jamy ustnej; należy regularnie szczotkować zęby co najmniej dwa razy dziennie oraz stosować nici dentystyczne lub irygatory do oczyszczania trudno dostępnych miejsc wokół implantu. Regularne wizyty kontrolne u stomatologa są również niezbędne; specjalista oceni stan zdrowia jamy ustnej oraz wykryje ewentualne problemy we wczesnym stadium. Ponadto warto unikać używek takich jak papierosy czy nadmierna ilość alkoholu, które mogą negatywnie wpłynąć na proces gojenia i stabilność implantu. Dieta bogata w składniki odżywcze wspiera proces regeneracji tkanek; warto spożywać produkty bogate w witaminy C i D oraz wapń.
Jakie są alternatywy dla implantów zębów?
Alternatywy dla implantów zębów to różnorodne rozwiązania protetyczne, które mogą być stosowane w przypadku braku możliwości wszczepienia implantu lub gdy pacjent preferuje inne metody odbudowy brakujących zębów. Jednym z najpopularniejszych rozwiązań są mosty protetyczne; składają się one z dwóch koron zakotwiczonych na sąsiednich zdrowych zębach i zastępują brakujący ząb pomiędzy nimi. Mosty są mniej inwazyjne niż implanty i wymagają jedynie oszlifowania sąsiednich zębów. Inną opcją są protezy ruchome; są to sztuczne uzębienia mocowane na specjalnych elementach lub przyssawkach, które można łatwo wyjmować do czyszczenia. Protezy są tańszą alternatywą dla implantów, ale mogą być mniej komfortowe i stabilne podczas jedzenia czy mowy. W przypadku pacjentów cierpiących na znaczny ubytek kości istnieje możliwość zastosowania technik regeneracyjnych przed wszczepieniem implantu lub wykorzystania mini-implantów jako wsparcia dla protez stałych czy ruchomych.
Jak często należy kontrolować stan implantów zębów?
Regularna kontrola stanu implantów zębów jest kluczowym elementem dbania o zdrowie jamy ustnej oraz długowieczność wszczepionych implantów. Zaleca się, aby pacjenci odwiedzali swojego dentystę przynajmniej raz na sześć miesięcy; podczas wizyty lekarz oceni stan zdrowia dziąseł wokół implantu oraz sprawdzi jego stabilność i integrację z kością. W przypadku wystąpienia jakichkolwiek niepokojących objawów, takich jak ból czy obrzęk wokół implantu, należy niezwłocznie zgłosić się do specjalisty niezależnie od terminu planowanej wizyty kontrolnej.
Jakie są najnowsze technologie w implantologii stomatologicznej?
Najnowsze technologie w implantologii stomatologicznej znacząco wpłynęły na jakość oraz efektywność zabiegów związanych z wszczepianiem implantów zębów. Jednym z przełomowych osiągnięć jest zastosowanie technologii cyfrowych, które umożliwiają precyzyjne planowanie zabiegu oraz dokładne dopasowanie implantu do indywidualnych potrzeb pacjenta. Dzięki skanowaniu 3D można uzyskać szczegółowy obraz jamy ustnej, co pozwala na lepsze zaplanowanie lokalizacji implantu oraz oceny stanu kości. Kolejnym innowacyjnym rozwiązaniem są implanty o zwiększonej powierzchni, które poprawiają stabilność i przyspieszają proces integracji z kością. Wprowadzenie materiałów biokompatybilnych oraz powłok antybakteryjnych również przyczynia się do redukcji ryzyka infekcji i poprawy wyników leczenia. Dodatkowo, techniki regeneracyjne, takie jak przeszczepy kości czy zastosowanie komórek macierzystych, pozwalają na odbudowę ubytków kostnych i stworzenie odpowiednich warunków do wszczepienia implantu.












